Trực tràng của một người đàn ông đã bị nổ tung sau khi những người bạn của anh bày trò nghịch dại với máy nén khí. Trường hợp của người đàn ông đã được các bác sĩ ở New Delhi và Rishikesh, Ấn Độ ghi lại. Được biết, người đàn ông 30 tuổi được đưa đến bệnh viện sau khi những người bạn đã đặt máy bơm khí nén vào hậu môn của anh.
Hậu quả của trò "nghịch dại" này là người đàn ông phải cắt bỏ toàn bộ ruột, vết thương do áp suất không khí tăng cao bên trong trực tràng đã khiến nó phát nổ và các cơ quan nội tạng khác cũng gặp vấn đề.
Mặc dù trường hợp của người đàn ông khá đặc biệt nhưng đây không phải lần đầu tiên xảy ra sự việc tương tự. Các bác sĩ tại bệnh viện cho biết cũng đã từng gặp hai nạn nhân cũng là nam giới bị chấn thương nghiêm trọng do máy bơm khí nén.
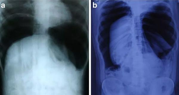
Một người đàn ông 24 tuổi đã đến khoa cấp cứu tại bệnh viện với bệnh án "bị thương vùng hậu môn do máy bơm khí nén". Người đàn ông cho biết máy bơm ở cách lưng anh khoảng 25cm và chỉ bật lên trong giây lát nhưng đã khiến anh bị sưng, đau vùng hậu môn và có máu trong phân. Các bác sĩ sau đó đã phải cắt bỏ một phần ruột của nam bệnh nhân.
Hình chụp X-quang bụng cho thấy không khí bên trong bụng của người đàn ông 24 tuổi bị thương do tai nạn.
Trường hợp khác là nam bệnh nhân 34 tuổi làm việc tại trạm bơm xăng đã nhập viện với vết thương tương tự sau khi bị bọn trộm tấn công.
Các bác sĩ cũng cảnh báo luồng không khí được tạo ra bởi một máy nén khí cao hơn ít nhất 100 lần so với những gì được coi là an toàn cho nội soi. Các chuyên gia cho biết: "Chỉ mất một hoặc hai giây để cung cấp đủ không khí điều áp có thể gây ra thiệt hại lớn."
"Chúng tôi khuyến khích việc giáo dục về cách sử dụng an toàn các thiết bị, máy móc như vậy vì hầu hết các trường hợp này là do vô tình và do sự thiếu hiểu biết', bác sĩ Lovenish Bains viết trong báo cáo về ca bệnh.
Làm thế nào máy bơm nén khí có thể gây nguy hiểm?
Trong một bài báo trên Journal of Medical Case Reports, các bác sĩ đã giải thích cách áp suất không khí vượt quá một điểm nhất định tạo thành một cột có thể hoạt động như một vật rắn.
Một luồng khí xâm nhập bất ngờ vào cơ thể có thể dẫn đến chấn thương gọi là barotrauma. Mặc dù hiếm nhưng Barotrauma xảy ra khi áp suất bên trong mô cơ thể cao hơn khu vực bên ngoài, khiến cơ quan bên trong vỡ ra.
Chẳng hạn, không khí được bơm vào hậu môn, sẽ đi thẳng vào ruột và thổi phồng cơ quan này như một quả bóng cho đến khi nó không thể chịu được áp lực nữa và vỡ ra. Nếu không khí được bơm theo cách tương tự vào miệng, nó có thể có tác dụng tương tự đối với dạ dày hoặc phổi.

Nguồn Bài Viết: eva.vn/suc-khoe/nguoi-dan-ong-bi-no-tung-truc-trang-vi-ban-nhet-thu-nay-vao-hau-mon-c131a392980.html


Không có nhận xét nào:
Đăng nhận xét